治療項目
3D齒雕
3D齒雕-蒔雨牙醫診所
什麼是3D齒雕?

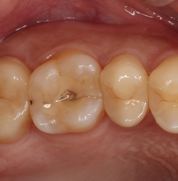
大範圍的齒質缺損如果使用樹脂填補的話,會因樹脂的強度不夠,導致容易崩裂,且因樹脂材料有收縮的特性,在大範圍的填補會有滲漏(leakage)產生,時間久了容易造成二次蛀牙,此外,樹脂還有容易磨損及變色的缺點。

使用陶瓷嵌體可獲得良好的強度,且密合度高,又能仿生牙齒的顏色及外觀,完美的修復缺損的齒質,亦不用擔心變色的問題。

另外,根管治療過的牙齒因齒質脆弱容易裂掉,都會建議將其保護起來以延長使用壽命。傳統上會使用牙冠保護,但製作牙冠會需要將牙齒修磨一圈,相對也會犧牲掉一些齒質。而現在,因著材料的進步,經由牙醫師的專業評估過後,也可以選擇用全咬合覆蓋式嵌體來做為根管後的贋復,既可以達到保護的效果,也可以最大程度的保留自己的齒質。

大範圍的齒質缺損-蒔雨牙醫診所
大範圍的齒質缺損-蒔雨牙醫診所
大範圍的齒質缺損
利用嵌體進行修復-蒔雨牙醫診所
利用嵌體進行修復