治療項目
全瓷牙冠
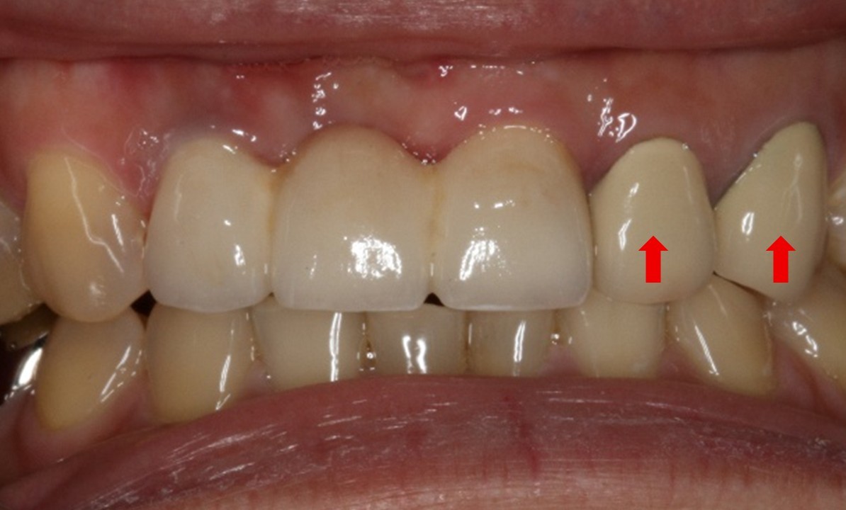
全瓷牙冠-蒔雨牙醫診所
什麼是全瓷牙冠?

全瓷牙冠跟傳統金屬燒瓷牙冠相比,有更高的美觀性,不會因為需要遮色金屬而使得牙冠看起來不透光顏色死白,也不會有牙齦萎縮之後露出金屬邊緣而看起來黑黑的。

金屬燒瓷牙冠另一個為人詬病的缺點為容易瓷崩,但因陶瓷層是在高溫環境下燒結出來的,因此在口內無法修補瓷崩的部位,造成金屬露出不美觀且導致咬合接觸不良,使用全瓷冠則不會有上述的問題發生。

此外,陶瓷的生物相容性高,較不會讓牙冠周圍的牙齦出現發炎反應,相反的,較多人會因為對金屬敏感,而使得金屬牙冠周圍的牙齦常常發炎。

為了遮金屬色而顯得死白不透光-蒔雨牙醫診所
為了遮金屬色而顯得死白不透光
因牙齦萎縮而露出金屬邊緣的黑線-蒔雨牙醫診所
因牙齦萎縮而露出金屬邊緣的黑線
瓷崩-蒔雨牙醫診所
瓷崩