診所介紹
診所環境
醫療設備
停車資訊
醫療團隊
治療項目
全口重建
人工植牙
活髓治療
牙周雷射
全瓷牙冠
3D齒雕
齒顎矯正
隱形矯正
顯微根管
美容牙科
營業資訊
案例分享
最新消息
診所公告
衛教專區
線上約診
醫療設備
首 頁
醫療設備
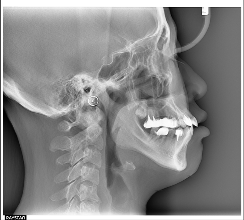
斷層掃描
3D斷層掃描
蒔雨牙醫引進Ray scan α+,具有高解析度,低變形量,能讓我們看到更多的細節,做更全面的診斷及治療規劃,且輻射劑量低,同時兼顧安全及品質。
高解析度,連细小的根管都能看得清楚
3合1機型,可同時在診所完成電腦斷層及側顱X光片拍射,讓矯正資料蒐集更完全
可見軟硬組織清晰的影像,讓矯正醫師能更準確的分析診斷
回上一頁